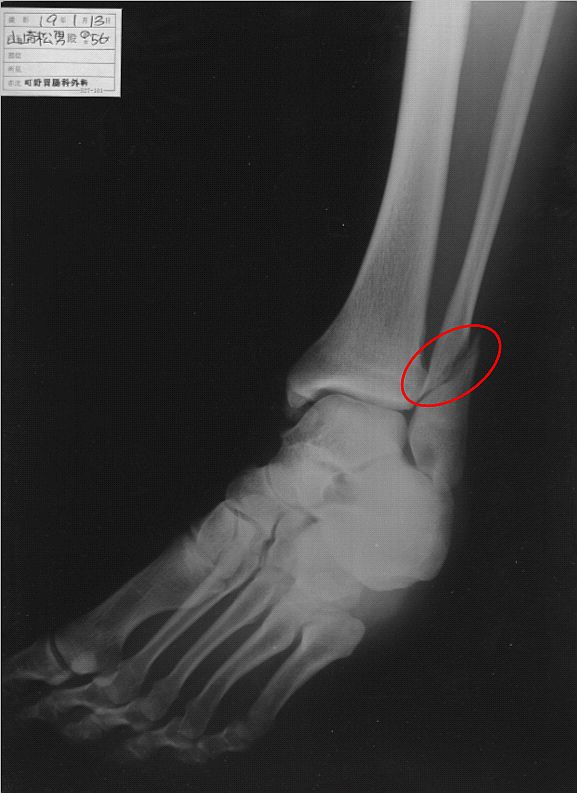
2007年1月10日左足間接外果骨折
骨折2日後のレントゲン
手術直後のレントゲン